We are here to help
Where a leg is affected, there will be sudden and severe lameness with the animal being unable to use that leg. This can be a very worrying time, and your pet will need to be seen as soon as possible by a vet.
Be careful when moving your pet since they will often be quite distressed. Whilst providing pain relief, your local vet or emergency service will fully assess your pet to see if any other injuries are present that may need more immediate attention than the bone or joint injury. Once stable, your pet will be able to undergo treatment of the fracture or dislocation.
Assessment and treatment plan
A full understanding of the injury is needed before a decision can be made on how best to manage it. This information is gathered by taking radiographs or by performing a CT scan.
Dislocated joints will need to be realigned, and this may be performed by careful manipulation or by surgery. The joint will then need to be maintained in this position whilst the local tissues repair.
In some cases, fractures can be managed without surgery, and support bandages or casts are used. Most patients with fractures do benefit from surgery since this often allows early weight bearing through the leg. This tends to make them more comfortable and better able to maintain their muscling and joint movement. They are also easier to look after if a large support dressing hasn’t been used.
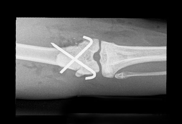
Fracture surgery
Surgery aims to realign and stabilise the fractured bones to allow uneventful healing. There are numerous methods used to stabilise the fractured bone including the use of plates, screws, pins, and wire. These are hidden from view and placed under the skin (internal fixation).
Drag the circle to view before and after surgery images.
Fixator surgery
Fixators, both linear (straight) and circular may also be used to temporarily stabilise the bone whilst healing, and these are visible externally (external fixators).
Drag the circle to view before and after surgery images.
Choice of technique
The choice of which technique to use will be based on the specific type of fracture, the age of the animal, and the amount of rest that can be expected in the follow-up period. The skill of the surgeon and availability of equipment will also play a role in deciding what technique to use. Some fractures are relatively straightforward to manage, whilst others will require a considerable amount of skill and expertise.
Monitoring and follow-up
Careful monitoring of your pet will continue after the surgery, where their individual needs will be regularly assessed and met. Animals will usually stay with us overnight following surgery, and during the night, they are carefully monitored and treated by the very experienced on-site night team.
Your pet will usually be ready to return home to you on the day after surgery, when we will give you all the medication that you need and specific instructions for postoperative care.
Animals will need a degree of restriction, and this will vary from patient to patient. A period of crate restriction is usually needed, although slow and controlled walks are often allowed straight away. We commonly recommend the use of a physiotherapist to aid with recovery following the surgery. This can be very helpful in hastening and improving the recovery process, and we will provide you with a list of highly qualified veterinary physiotherapists in your area.
We will ask to see you and your pet again about six weeks later so that healing can be assessed. This information will help to guide the next phase of rehabilitation. This ensures that your pet is strong enough when they return to normal activities.
If you have any questions about surgery then please get in touch.
You can view our Fracture surgery prices on our Prices and Payment page here.











