Progressive Deterioration
Dogs with cruciate ligament rupture often have a progressive deterioration in the use of their leg over many months. Initially, lameness is mild and transient and tends to rapidly improve with rest and anti-inflammatory medication. This mild and intermittent lameness is typical of the early stages of cruciate ligament rupture when most of the ligament is still intact and functioning. If untreated at this stage, the ligament will progressively tear, and lameness will become persistent and severe; this corresponds to a complete rupture of the ligament. TPLO surgery is the treatment of choice at any stage of cruciate ligament rupture. We recommend early treatment since this can prevent full ligament rupture from occurring, thereby hastening your pet’s recovery and improving their comfort and mobility. Drag the circle to view before and after surgery images.
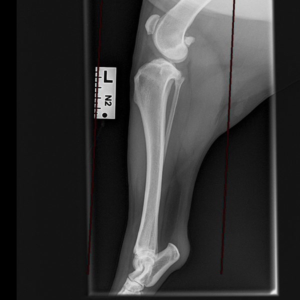
TPLO Surgery
TPLO surgery changes the way that the two knee bones (femur and tibia) interact through cutting, repositioning and fixing the tibia in a slightly different position. This provides joint stability without the need to replace the cruciate ligament.
You can click/tap our TPLO document here for download and print information.
If you have any questions about this treatment then please get in touch.
You can view our TPLO surgery prices on our Prices and Payment page here.







